Denne retningslinje er målrettet sundhedsprofessionelle, som har deltaget i et uddannelsesprogram i fokuseret lungeultralydsscanning (FLUS) eller er interesserede i, hvad FLUS kan. Dansk Lungemedicinsk Selskab og Ultralydsudvalget anbefaler entydigt deltagelse i FLUS-uddannelsesprogram inkl. kompetencebedømmelse før du går i gang med at scanne (jf. pkt 1.10.).
Denne retningslinje omhandler:
- Udførelse samt scanningsprotokol
- Korrekt indstilling af ultralydsapparat
- Den normale FLUS
- Patologiske fund ved FLUS, herunder:
- Interstitielt syndrom
- Pneumothorax
- Pleuraeffusion
- Patologi i lungeparenkymet
- Beskrivelse af FLUS-fund
- Uddannelse og certificering
1.1. BAGGRUND OG DEFINITION
Brugen og populariteten af FLUS er steget markant inden for de seneste år. Primært grundet evnen som supplerende diagnostisk og monitorerende værktøj til både udredning og opfølgning af patienter med dyspnø og andre respiratoriske symptomer. FLUS har vist sig at være konventionelt røntgen af thorax diagnostisk overlegent i en lang række akutmedicinske tilstande, herunder lungeødem og pneumothorax [1–5]. Derudover er FLUS en bekvem, hurtig og strålefri undersøgelse, som kan foretages på stuen og uden at flytte patienten (bedside).
Denne retningslinje beskriver udelukkende FLUS, og ikke diagnostisk thorakal ultralydsscanning (TUS), som er mere detaljeret, tidskrævende og kræver certificeret uddannelse (se punkt 1.10.).
FLUS-fund tolkes ved at anvende en fokuseret tilgang med besvarelse af fire dikotome spørgsmål, såsom ”Er der tegn til pneumothorax: ja eller nej?” (se punkt 1.4.1)
Dette er i modsætning til den mere tidskrævende TUS, som kræver større erfaring end FLUS før selvstændig undersøgelse mestres. Kort beskrevet er TUS en komplet undersøgelse af thorax inklusive mediastinum, pleura parietale, pleura viscerale, diafragma og hals mhp. at identificere al synlig patologi. Ved TUS foretages både en morfologisk og kvantitativ vurdering af eventuel patologi, ligesom der kan suppleres med brug af avancerede modaliteter, som kontrastforstærket lungeultralyd. Til den særligt TUS-interesserede har European Respiratory Society udgivet en omfattende monografi samt holdningspapir på området [6, 7], foruden at udbyde TUS-kurser.
1.2. INDIKATION
FLUS anvendes som supplement til anamnese, objektiv undersøgelse og øvrige parakliniske undersøgelser i den kliniske vurdering eller monitorering af patienter med akut eller subakut opståede symptomer som f.eks.:
- Dyspnø
- Brystsmerter
- Respirationsinsufficiens
Ovenstående symptomer ses ved mange forskellige tilstande, hvorfor FLUS hyppigt anvendes ved mistanke om f.eks. infektion (pneumoni, pleurainfektion), pneumothorax, pleuraeffusion, lungeemboli eller lungeødem.
Anvendt systematisk kan FLUS udelukke relevante differentialdiagnoser, såsom akut hjertesvigt hos patient med KOL exacerbation.
FLUS kan ligeledes anvendes i den ambulante setting, f.eks. som bedside-kontrol før og efter invasive procedurer i thorax med risiko for iatrogen pneumothorax.
1.3. SCANNINGSPROCEDURE
1.3.1. Klargøring af apparatur
Efter opstart af ultralydsapparat oprettes patientundersøgelse med indtastning af patient-ID, så det er muligt at gemme klip og billeder til senere gennemsyn/konferering.
1.3.2. Valg af probe
Flere moderne ultralydsapparater er udsty-ret med en konveks, lineær, og en phased array-probe (FIGUR 1). Alle tre kan benyt-tes i forbindelse med en FLUS-undersøgelse, men det er vigtigt at være opmærksom på fordele og begrænsninger proberne imellem.

Figur 1: A) Konveks (abdominal) probe. B) Lineær probe. C) Mikrokonveks probe. D) Phased array (kardiel) probe.
Den konvekse probe (A) er det anbefalede førstevalg. Probens konvekse kontaktflade giver et bredt scanningsfelt og grundet den lave frekvens opnås acceptabel opløsning af både superficielle og profunde strukturer. En lineær probe (B) er ofte højfrekvent og giver bedre opløsning af superficielle strukturer. Den bør anvendes hvis man med FLUS udelukkende ønsker at foretage vurdering af pleuralinjen, f.eks. for at udelukke pneumothorax.
Den mikrokonvekse probe (C) er ikke så udbredt, men kan være et alternativ/supplement ved liggende patienter, da den lille probe-størrelse er velegnet til at skanne lungernes posteriore flader.
En phased array probe (D) er kendetegnet ved en lav frekvens og en lille kontaktflade. Denne kombination giver udtalt ringe billedkvalitet af superficielle strukturer, hvilket vanskeliggør diagnostik af pneumothorax og mindre subpleurale konsolideringer. Proben frarådes derfor som standardvalg, men hvis FLUS er et supplement til en ekkokardiografi, og der hverken er en konveks eller lineær probe tilgængelig, så kan den bruges til at vurdere om der er tegn til lungeødem eller pleuraeffusion. Proben er god til at fremhæve septae ved pleurainfektion.
Efter valg af probe bestemmes Preset, dvs. den standard-softwareindstilling der som udgangspunkt er den optimale ved undersøgelse af en given struktur (f.eks. hjerte, lunge, abdomen).
Mange nyere ultralydsapparater har et lunge-Preset, men i fravær heraf er abdominal-Preset ofte et acceptabelt alternativ. Her bør man dog være opmærksom på at slukke for billedoptimeringssoftware (f.eks. Harmonics eller CrossXBeam), da disse reducerer mængden af artefakter, som er en hjørnesten i tolkningen af FLUS.
1.3.3 Scanningsprotokol
Der findes flere tilgange til systematisk undersøgelse af thorax hos den respiratorisk påvirkede patient. En af de hyppigst anvendte scanningsprotokoller omfatter 14 zoner, benævnt R1-R7 og L1-L7 (fire anteriore og laterale, samt seks posteriore zoner) (FIGUR 2). Det bør nævnes, at nomenklaturen tidligere har været omvendt (1R-7R og 1L-7L), men for at undgå forveksling med lymfeknudestationer i forbindelse med endobronkial ultralyd blev det besluttet at ændre benævnelsen. 14-zoners-tilgangen er valideret i flere settings og betragtes som standard af både Dansk Lungemedicinsk Selskab og European Respiratory Society [6, 8, 9].

Figur 2: Scanningszoner når 14-zoners protokollen anvendes. Nummeret i zonen angiver den optimale scanningsrækkefølge. Når laterale og posteriore zoner scannes, bør undersøgelsen altså starte kaudalt (zone 3 og 5) for at sikre korrekt afgrænsning mellem thorax og øvre abdomen.
Klinikeren bør ikke systematisk gennemscanne hver enkelt zone. I stedet placeres proben i zonen i omkring seks sekunder, mens de dikotome spørgsmål gennemgås under pågående vejrtrækning fra patienten. Herefter bevæges proben til næste zone og tilgangen gentages.
1.3.4 Lejring af patienten
Patientlejring afhænger af den kliniske mistanke, differentialdiagnoser og almentilstand. Da man ved FLUS undersøger for både luft (pneumothorax) og væske (pleuraeffusion), skal patientens positionering altid haves in mente.
Oftest startes undersøgelsen med scanning af anteriore og laterale zoner (1-4) med patienten i rygleje, om muligt i 45 graders vinkel, hvor fri luft fra en pneumothorax vil displaceres til brystkassens øvre forflade. Det anbefales ikke rutinemæssigt at undersøge de anteriore zoner med patienten i siddende stilling, da klavikler og øvre costae vil gøre det svært at erkende et apikalt pneumothorax. De posteriore zoner undersøges derimod bedst med patienten i siddende stilling. Dette med særligt fokus på tilstedeværelse af pleuraeffusion, der vil samle sig i den dybe posteriore kostodiafragmatiske reces.
Hos patienter uden mulighed for mobilisering til siddende stilling, scannes de anteriore og laterale zoner. Ofte vil man kunne få proben trykket ned i madrassen og ind under patienten, så de posteriore flader helt eller delvist kan visualiseres.
1.3.5 Billedoptimering
Der findes mange indstillinger på ultralydsapparater alt afhængig af firma, model og udstyrspakke.
Nedenfor gennemgås indstillinger som undersøgeren bør være bekendt med ved FLUS-undersøgelse:

Figur 3: Henholdsvis 1 cm (A), 9 cm (B) og 4 cm (C) markering af dybden ses med gult i højre side af ultralydsbillederne.
- Dybde: Indstilling af scanningsdybde afhænger især af hvilken diagnose, der ønskes undersøgt. Ofte giver en indstilling på 6-10 cm’s dybde et tilstrækkeligt indblik i anteriore zoner, så både pleuralinie og evt. underliggende artefakter kan visualiseres. I laterale og posteriore zoner er der typisk behov for mere dybde, ofte 10-15 cm. Det bør holdes in mente, at disse intervaller er vejledende og at den optimale dybde er afhængig af patientens størrelse. I FIGUR 3 ses en FLUS-undersøgelse med en lineær probe og med tre forskellige dybde indstillinger.
- Gain: Med denne funktion justeres ultralydssignalet: forstærkes (billedet bliver lysere) eller mindskes (billedet bliver mørkere). Med for meget gain (for lyst billede) kan det være svært at vurdere pleuralinje, lung sliding og artefakter. Omvendt kan for lidt gain (for mørkt billede) gøre at f.eks. pleuravæske eller konsolidering overses. På billederne nedenfor ses to forskellige gain-indstillinger. Der findes ikke en gain-indstilling, som er korrekt til FLUS, det afhænger af apparat, patienten samt hvor meget lys og genskin der er i rummet.
- Fokus: Fokuspunktet er den dybde, hvor ultralydsapparatet forsøger at optimere billedopløsningen mest muligt. Ved FLUS er det mest optimale at justere placeringen af fokus til dybden omkring pleuralinien eller lige under strukturen der ønskes skannes. Som udgangspunkt anvendes kun ét fokuspunkt, da flere simultane fokuspunkter signifikant nedsætter frame rate. Nyere ultralydsapparater har så stor processorkraft, at fokuspunkt ikke er nødvendigt.
1.4. UDFØRELSE OG NORMALE FUND
Når korrekt probe og Preset er valgt samt patienten er lejret tilfredsstillende kan FLUS-undersøgelsen begynde.
Ultralydproben placeres på tværs af et interkostalrum med indikatoren pegende kranialt, så venstre side af ultralydsbilledet på skærmen svarer til kranial retning. Nu bør man kunne se to lodrette sorte slagskygger fra ribben (R) med en horisontal hyperekkoisk linje (P) imellem, som repræsentere pleuralinjen der omfatter både pleura parietale og viscerale (FIGUR 4). Superficielt herfor ses hud, muskler, og fascier.

Figur 4: Standardprojektionen ved FLUS. Daniel Lichtenstein, en af pionererne bag FLUS, benævnte den bat-sign og omfatter to ribbensskygger (R) med en pleuralinje (P) i midten.
Ved en normal ultralydsundersøgelse ses en respirationssynkron horisontal bevægelse af pleuralinjen, hvilket repræsenterer pleura viscerale der under in- og ekspiration bevæger sig langs pleura parietale. Denne bevægelse benævnes lung sliding.
Det raske lungeparenkym kan pga. luftindholdet ikke visualiseres med ultralyd. Således er området visualiseret profund for pleuralinjen genspejlingsartfakter af vævet superficielt for pleuralinjen og ikke et billede af selve lungeparenkymets anatomi.
1.4.1. Beskrivelse
For hver scanningszone besvares følgende, dikotome spørgsmål (ja/nej):
- Er der interstitielt syndrom (signifikant antal B-linie artefakter)?
- Er der tegn på pneumothorax (ophævet lung sliding)?
- Er der pleuraeffusion?
- Er der anden oplagt lungevævspatologi?
Vurdering af hver af de dikotome spørgsmål omtales i de følgende afsnit.
1.5. Er der tegn på INTERSTITIELT SYNDROM?
Ved interstitielt syndrom ledes efter tilstedeværelse af B-linjer. Disse reverberationsartefakter ses som vertikale, hyperekkoiske linjer, der udgår fra pleuralinjen, bevæger sig respirationssynkront og fortsætter ubrudt til bunden af ultralydsbilledet (FIGUR 5). B-linjer menes at opstå grundet resonansdannelse når ultralydsbølgerne rammer lungeinterstits med øget densitet.
Forekomsten af enkelte og isolerede B-linjer er ikke patologisk, og specielt i de laterale, basale zoner kan disse findes hos lungeraske individer. Studier har vist, at op mod 1/3 af lungeraske personer har B-linier i disse zoner [10, 11]. Da B-linjer har ophav i lungeparenkymet udelukker deres tilstedeværelse også pneumothorax i det skannede område.
Interstitielt syndrom omfatter tilstedeværelse af B-linjer diffust og bilateralt. Definitionen er:
- ≥3 B-linje artefakter i et intercostalrum i en zone
- Ovenstående tilstede i ≥2 zoner på hver hemithorax (kun anteriore og laterale zoner indgår)
Tilstedeværelse af interstitielt syndrom kan ses som indirekte tegn på en tilstand med diffust øget densitet af lungeinterstitium i begge lunger. Da densitetsændringer i lungerne kan skyldes mange tilstande, er fundet ikke specifikt for en enkelt lidelse.

Figur 5: Multiple B-linjer (B) hos en patient med kardiogen lungestase. De hyperekkoiske B-linjer udgår fra og bevæger sig synkront med pleuralinjen. De kan følges ubrudt til bunden af ultralydsbilledet.
Kardiogent lungeødem er blandt de hyppigste årsager til interstitielt syndrom i den akutte setting. Ved FLUS ses typisk B-linjer deklivt, og ved udtalt lungeødem ses multiple B-linjer i alle zoner. Selve pleuralinjen fremtræder oftest intakt og uden fortykkelse. Der ses ofte ledsagende pleuraeffusion og evt. kompressionsatelektase.
I en akutmedicinsk setting er FLUS øvrige modaliteter (f.eks. rtg. thorax, proBNP) overlegen på diagnostisk præcision ved diagnostik af kardiogent lungeødem. Da både sensitivitet og specificitet ligger >95% tillader tilstedeværelsen af interstitielt syndrom at bekræfte diagnosen, mens fravær af B-linjer tillader at forkaste mistanken om lungeødem [12–15]. Hvis der er mistanke om kardiogent ophav til interstitielt syndrom anbefales FLUS suppleret med en fokuseret hjerteultralydscanning eller evt. senere en regelret ekkokardiografi.
Andre tilstande der medfører diffust øget densitet af lungevævet, og dermed interstitielt syndrom ved FLUS, omfatter f.eks., non-kardiogent lungeødem, viral pneumoni (f.eks. ved SARS-CoV-19), Acute Respiratory Distress Syndrome (ARDS) og visse interstitielle lungesygdomme (ILS) [8].
B-linjer kan ses også med fokal lokalisation, f.eks. i L3 og L5 med normale fund i de resterende zoner, som tidligt fund ved pneumoni, hvor lungevævet endnu ikke er blevet konsolideret.
1.5.1 Klinisk konsekvens
Tilstedeværelse af interstitielt syndrom hos den akut påvirkede patient skal medføre nøje vurdering af hvilken af ovenstående årsager der er mest sandsynlige, det komplette kliniske billede taget i betragtning.
Fund af interstitielt syndrom kan styrke mistanken om lungeødem hos en patient der har en relevant anamnese og andre objektive fund herpå, og lede til behandlingsstart af relevant behandling.
Omvendt kan fund af fokale B-linjer styrke mistanken til pneumoni, hvis det kliniske billede er foreneligt med denne diagnose.
Fravær af interstitielt syndrom har stor klinisk anvendelighed. Hos patienter med exacerbation af KOL eller astma vil der ikke ses B-linjer og man kan udelukke f.eks. kardiogen lungestase som årsag til dyspnø.
1.6. Er der tegn til PNEUMOTHORAX?
FLUS-fund kan ved diagnostik af pneumothorax pragmatisk inddeles i tre kategorier: Fund der,
- udelukker pneumothorax
- tyder på pneumothorax
- er diagnostiske for pneumothorax
1.6.1 Fund der udelukker pneumothorax
Den normale respirationsafhængige bevægelse af lunge og lungehindevisualiseres som lung sliding. Tilstedeværelse af lung sliding indikerer følgende i det skannede område:
- Der er ikke luft imellem lungehinderne
- Lungevolumina ændres
På baggrund heraf kan tilstedeværelse af lung sliding anvendes til at udelukke pneumothorax i det givne område. Lung sliding kan være fraværende eller mindsket grundet apnø, hypoventilation eller f.eks. selektiv intubation af en hovedbronkus. I sidstnævnte tilfælde vil lung sliding ikke være til stede på den non-ventilerede lunge, men derimod kan man oftest se hjertets bevægelse, der synkront med hjertefrekvensen forplanter sig til lungen som små rykvise bevægelser af pleuralinjen. Dette fænomen kaldes lung pulse og udelukker ligeledes pneumothorax [16]. Som tidligere nævnt udelukker tilstedeværelse af B-linjer også pneumothorax, da disse har parenkymalt ophav og ikke vil kunne erkendes, hvis der er luft mellem lungehinderne, da ultralydsstrålerne ikke ville nå frem til lungen.
1.6.2 Funder der tyder på pneumothorax
Fravær af lung sliding, lung pulse og B-linjer tyder på pneumothorax, men er ikke sikkert diagnostisk for pneumothorax. F.eks. kan lung sliding være svært at erkende i apikale zoner, på trods af at lungen er fuldt udfoldet. Adhærencer mellem lungens overflade og thoraxvæggen kan også ses som områder uden lung sliding, f.eks. som følger efter pleurodese, operationer eller tidligere infektioner i thorax.
Fraset mangel på ovenstående FLUS-fund kan andre ultralydsfund rejse mistanke om pneumothorax, blandt andet visualisering af subkutant emfysem i thoraxvæggen.
1.6.3 Fund der er diagnostiske for pneumothorax
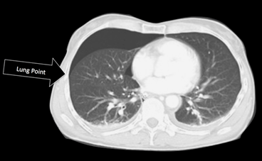
Medmindre der er tale om en komplet kollapset lunge vil der ved pneumothorax være områder hvor pleura viscerale er i kontakt med pleura parietale (FIGUR 6). I disse områder ses fortsat bevaret lung sliding i forbindelse med vejrtrækning. I områder hvor pleurabladene er adskilt grundet pneumothorax vil lung sliding ikke kunne visualiseres og pleuralinjen vil fremstå statisk. Med ultralydscanning kan stedet hvor pleurakontakten ophører visualiseres. Overgangen mellem lung sliding og ophørt lung sliding benævnes lung point. Erkendelse af et lung point er forbundet med en specificitet omkring 98% og betragtes som diagnostisk for pneumothorax[5, 6].


Figur 6: En CT-scanning med højresidig pneumothorax. Bemærk at luften (sort) samler sig ventralt. Dorsalt for midtaxillærlinjen er der fortsat kontakt mellem lungehinderne. Området hvor kontakten ophører kaldes lung point og kan erkendes med FLUS.
1.6.4 Klinisk konsekvens
Tilstedeværelse af lung sliding i alle zoner udelukker med meget stor sikkerhed pneumothorax.
Tilsvarende tillades ved fund af lung point at diagnosticere en pneumothorax med stor sikkerhed. Om der skal anlægges dræn og om dette skal foregå akut, afhænger af lægens samlede kliniske vurdering af patientens kliniske tilstand.
OBS: FLUS kan ikke afgøre afstand mellem pleura viscerale og parietale.
Finder man indikation for anlæggelse af pleuradræn hos den hæmodynamisk stabile patient bør man derfor overveje at foretage et røntgenbillede af thorax, for at vurdere afstanden mellem lungehinderne, inden der lægges dræn.
Hos den akut påvirkede og hæmodynamisk ustabile patient med lung point eller (fuldstændig mangel på lung sliding ved komplet kollaps af lunge) må mistænkes trykpneumothorax og der kan øjeblikkeligt dekomprimeres på vital indikation uden anden billeddiagnostik.
Se særskilt retningslinje om pneumothorax her: https://webpedel.one/pneumothorax/.
Fravær af lung sliding, lung pulse og B-linjer tyder på pneumothorax, men diagnosen behøver konfirmering eller afkræftelse ved anden billeddiagnostik (CT thorax, stående RTG thorax, TUS)
1.7. Er der PLEURAEFFUSION?
Pleuraeffusion vil ultrasonografisk oftest ses som et an- eller hypoekkoisk område beliggende deklivt mellem de to pleurablade (FIGUR 7 og 8). Ved ultralydsscanning kan man visualisere pleuraeffusionens størrelse og skelne mellem:
- Simpel effusion: Homogen hypoekkoisk pleuravæske uden synligt indhold. Ses ofte i forbindelse med hjerte- eller leversvigt, men kan også være til stede grundet malignitet eller pneumoni.
- Kompliceret effusion: Indeholder septae eller lokulering. Dette kan ses ofte som led i parapneumonisk effusion, pleurainfektion, samt kronisk malign/non-malign effusion).

Figur 7: Effusionen (PE) befinder sig mellem pleura parietale og viscerale og respekterer grænserne til de omkringliggende anatomiske strukturer, diagfragma (D) og mediastinum. Billedet viser desuden atelektase (punkt 1.9.3) og lever (Lvr).
Det er vigtigt at huske, at skelnen mellem simpel og kompleks effusion ikke svarer til distinktion mellem transudat og eksudat, der bestemmes biokemisk efter diagnostisk / terapeutisk torakocentese ved at anvende Light kriterierne. Se særskilt retningslinje om pleuraeffusion. https://webpedel.one/pleuraeffusion/.
I stedet bruges betegnelsen til at få en idé om viskositeten af pleuravæsken, som er af værdi i valget af størrelse dræn der skal anvendes ved pleuracentese. Se særskilt retningslinje om pleuradræn https://webpedel.one/pleuradraen/.
Kan man ikke tilgå de posteriore zoner kan man placere proben kaudalt i zone 3 og øge dybden mhp. at identificere ”spine sign”. Spine sign henfører til, at columna kun kan identificeres kranielt for diafragma, hvis væske eller konsolideret væv fungerer som akustisk vindue, hvorved columna visualiseres profund for væsken/konsolideringen (B i FIGUR 9 nedenfor). Under normale omstændigheder kan columna ikke visualiseres gennem det luftfyldte lungeparenkym (A).

Figur 8: Eksempler på pleuraeffusion. A) pleuraeffusion med septaedannelse, B) hydropneumothorax, C) pleurainfektion, D) pneumoni med parapneumonisk effusion og septaedannelse.
Kan man ikke tilgå de posteriore zoner kan man placere proben kaudalt i zone 3 og øge dybden mhp. at identificere ”spine sign”. Spine sign henfører til, at columna kun kan identificeres kranielt for diafragma, hvis væske eller konsolideret væv fungerer som akustisk vindue, hvorved columna visualiseres profund for væsken/konsolideringen (B i FIGUR 9 nedenfor). Under normale omstændigheder kan columna ikke visualiseres gennem det luftfyldte lungeparenkym (A).
Oftest er det nemmest at få det korrekte billede til at identificere spine sign på patientens højre side grundet leverens størrelse og placering. I venstre side, hvor det akustiske vindue skal gå igennem milten, skal proben oftest flyttes mere dorsalt (ned mod madrassen når patienten ligger på ryggen), men billedet bliver ofte forstyrret af hjertet, mavesæk og venstre colon-fleksur (evt. inkl. luft, der giver luftartefakter).
Figur 9: Oversigt af spine sign. A) thoraxhulen indeholder normalt luftfyldt lunge, hvorfor columna ikke kan visualiseres kranielt for diafragma. B) En effusion posteriort i thoraxhulen tillader FLUS at visualisere columna kranielt for diafragma (ses dybest i ultralydsbilledet).
1.7.1 Klinisk Konsekvens
Tilstedeværelse af pleuraeffusion på mere end få mm er som udgangspunkt altid patologisk. FLUS’ ultralydsfund ved pleuraeffusion er ikke specifikke for en given tilstand eller årsag til effusionen hvorfor ved fund af en pleuraeffusion som udgangspunkt bør føre til diagnostisk eller terapeutisk torakocentese. Ofte anvendes en pleuravæskebræmme på mere end 2 cm som en arbitrær grænse for torakocentese indikation, det er dog vigtigt at være opmærksom på at diagnostisk punktur kan være indiceret ved effusioner med væskebræmme på mindre end 2 cm. Pleuraeffusion giver i sig selv sjældent respirationssvigt, så hvis der er pleuraeffusion tilstede, må man overveje om de tilstande der leder til pleuraeffusion, f.eks. akut hjertesvigt, lungeemboli, pneumoni, også er tilstede og behandles på anden måde en blot pleuracentese. Omvendt kan selv mindre effusioner være patofysiologisk betydende hos patienter med kronisk respirationsinsufficiens (f.eks. svær KOL) og terapeutisk centese dermed være indiceret.
Se i øvrigt DLS’ særskilte retningslinjer om håndtering af pleuraeffusion og pleurasygdomme her: https://webpedel.one/pleuraeffusion/ https://webpedel.one/pleurasygdomme/
Fravær af pleuraeffusion i alle zoner udelukker med meget stor sikkerhed klinisk betydende pleuraeffusion.
1.8. Er der ANDEN OPLAGT PATOLOGI?
Ved FLUS bemærkes desuden tilstedeværelse af anden oplagt patologi, herunder synlige forandringer i selve lungeparenkymet. Nærmere diagnostik og vurdering af disse forandringer falder under den diagnostiske TUS, se punkt 1.1. Nedenstående er derfor simple og generelle beskrivelser af de typiske fund ved relevante tilstande i FLUS-vurdering af den akutte patient. Ved fund af f.eks. lungekonsolidering som led i FLUS bør den FLUS-udførende læge derfor sikre sig nøje at integrere fund sammen med den øvrige kliniske kontekst og vurdere om mistænkte diagnosen behøver konfirmering eller afkræftelse ved anden billeddiagnostik (f.eks. RTG thorax, TUS, CT thorax).
Forandringer i lungeparenkymet kan visualiseres, når lungevævet ikke indeholder luft men f.eks. væske, inflammation eller celler. Desuden skal forandringen være i direkte kontakt med lungehinden for at kunne visualiseres. Fravær af parenkymale forandringer på FLUS tillader altså ikke at udelukke f.eks. lungetumores, der kan ligge dybere i parenkymet. Alt afhængigt af årsag kan forandringerne være skarpt eller diffust afgrænset fra det omkringliggende væv og fremtræde både som hyper-, iso-, hypo-, og anekkoiske strukturer.
1.8.1. Pneumoni
Karakteristiske fund ved pneumoni er forekomsten af et diffust afgrænset hypo- eller hyperekkoisk område, som kan ligne levervæv. I det konsoliderede lungeparenkym ses talrige punktformede eller lineære hyperekkoiske områder kaldet luftbronkogrammer, som repræsenterer luft i bronkierne omgivet af konsolideret lungeparenkym (FIGUR 10).
Luftbronkogrammer er karakteristiske for pneumonisk konsolidering og ses ikke ved atelektase, tumor eller pleuralt infarkt [4, 10]. Ved pneumoni ses der dog ofte samtidig perifer atelektase pga. sekretstagnation eller pleuraeffusion, som giver fravær af luftbronkogram i disse lungedele. Diagnose af pneumoni kræver derfor sammenhæng mellem FLUS og andre kliniske fund. Omkring det synligt konsoliderede område er der oftest et grænse-område, hvor pleuralinjen ses med multiple B-linjer. Ligeledes kan pneumoni ses som fokale B-linjer, nogle gange med små, 1-2 cm, subpleurale konsolideringer, hvis ikke lungevævet er blevet konsolideret. Disse forandringer er sjældent synlige på røntgen af thorax.

Figur 10: FLUS-fund ved pneumoni. Over milten og diaphragma ses en pneumonisk konsolidering svarende til basale del af venstre underlap. Der ses talrige luftbronkogrammer repræsenteret ved spredte hyperekkoiske punktformede områder.
1.8.2. Lungeemboli
Hos omkring 80% af patienter med lungeemboli kan FLUS påvise subpleurale konsolideringer[17]. Disse repræsenterer infarkter som følge af hypoxi distalt for embolien. Infarkterne kan variere i størrelse fra millimeter til centimeter og ses ofte som en homogen, hypoekkoisk, rund eller trekantet konsolidering, der er skarpt afgrænset i forhold til det omkringliggende lungevæv (FIGUR 11)[17].
Da FLUS ikke omfatter systematisk undersøgelse af hele thoraxfladen må der forventes en lavere sensitivitet hvis 14-zoners protokollen anvendes. Imidlertid har et nyligt studie beskrevet, at hvis FLUS suppleres med scanning af området hvor en patient klager over stikkende brystsmerter, opnås en sensitivitet på netop 80%[18]. I omkring halvdelen af tilfældene akkompagneres infarktet
af en mindre pleuraeffusion.
Figur 11: En velafgrænset subpleural trekantet hypoekkoisk konsolidering (pil) hos patient med lungeemboli. Repræsenterer infarkt som følge af hypoxi distalt for perifær embolisering.
1.8.3. Atelektase
Ved en atelektase er et område af lungeparenkymet tømt for luft, hvilket muliggør visualisering af vævet med FLUS.
Kompressionsatelektaser visualiseres som en homogen hyperekkoisk konsolidering uden luftbronkogrammer. Kompressionsatelektaser ses som udgangspunkt ved betydende pleuraeffusioner hvor en pleuraeffusion presser luften uden af det underliggende lungevæv FIGUR 12).

Figur 12: Hyperekkoisk kompressionsatelektase med akkompagnerende simpel pleuraeffusion.
1.8.4 Klinisk konsekvens
Som anført ovenfor kan fund af større lungeparenkym-forandringer ofte erkendes som anden oplagt patologi i forbindelse med udførsel af FLUS. Anvendelse af ultralydskanning til diagnosticering af årsagen til underliggende lungeparenkym forandringer er dog teknisk vanskeligt og mere flere betydende faldgruber. Derfor vil sådan en diagnostisk vurdering typisk falde under TUS frem for FLUS.
Man bør derfor ved fund af f.eks. lungekonsolidering som led i FLUS sikre sig nøje at integrere fund sammen med den øvrige kliniske kontekst og setting. Ud fra dette må den udførende læge vurdere om mistænkte diagnose behøver konfirmering eller afkræftelse ved anden billeddiagnostik (f.eks.: rtg. af thorax, TUS, CT-thorax) eller man ud fra samlet klinisk vurdering vil initiere behandling uden supplerende diagnostik.
1.9. DOKUMENTATION
Ultralydsklip af f.eks. tre- seks sekunders varighed fra hver scannet zone gemmes på ultralydsapparatet og/eller i dedikeret database. Det anbefales at hvert klip gemmes med en label der angiver hvilken zone klippet repræsenterer. I patientjournalen dokumenteres scannede zoner, samt hvilke flader/zoner det ikke har været mulige at scanne. Ligeledes anføres dikotome fund af de fire fokuserede spørgsmål.
Et eksempel på et notat efter FLUS uden fund af de fire tilstande er:
”Patienten scannet i liggende stilling. Anteriore og laterale zoner (1-4) scannet bilateralt. Ikke muligt at tilgå posteriore zoner. Ingen tegn på interstitiel lungeaffektion, pneumothorax, pleuraeffusion eller anden oplagt patologi.”
1.10. UDDANNELSE OG ERFARING
Det anbefales at uddannelse og certificering i FLUS baseres på et samlet evidensbaseret uddannelsesprogram som f.eks. ved et af de danske simulationscentre, som har FLUS-kurser godkendt af DLS’ ultralydsudvalg [19, 20].
DLS ultralydsudvalg anbefaler ligeledes at der bruges redskaber til løbende kompetencevurderinger og kvalitetssikring, f.eks. LUS-OSAUS [21] eller ACTS-skalaen [22]. På lungemedicinske afdelinger bør det være en ultralydsansvarlig læge, der sikrer den faglige standard samt har ansvar for uddannelse, supervision og certificering.
Som anført ovenfor dækker denne retningslinje FLUS og ikke den mere tidskrævende og grundige TUS.
Det er DLS’ holdning, at udførelse, uddannelse og certificering i TUS bør følge niveauet fra enten det europæiske lungeselskab (ERS, ”Thoracic Ultrasound Certified Training programme”) eller det europæiske selskab for diagnostisk ultralyd (EFSUMB) [23–25].
1.11. REFERENCER
- Gentilotti E, De Nardo P, Cremonini E, Górska A, Mazzaferri F, Canziani LM, Hellou MM, Olchowski Y, Poran I, Leeflang M, Villacian J, Goossens H, Paul M, Tacconelli E. Diagnostic accuracy of point-of-care tests in acute community-acquired lower respiratory tract infections. A systematic review and meta-analysis. Clin Microbiol Infect [Internet] Clin Microbiol Infect; 2022 [cited 2023 Mar 30]; 28: 13–22Available from: https://pubmed.ncbi.nlm.nih.gov/34601148/.
- Squizzato A, Rancan E, Dentali F, Bonzini M, Guasti L, Steidl L, Mathis G, Ageno W. Diagnostic accuracy of lung ultrasound for pulmonary embolism: a systematic review and meta-analysis. J Thromb Haemost [Internet] J Thromb Haemost; 2013 [cited 2023 Mar 30]; 11: 1269–1278Available from: https://pubmed.ncbi.nlm.nih.gov/23574640/.
- Martindale JL, Wakai A, Collins SP, Levy PD, Diercks D, Hiestand BC, Fermann GJ, Desouza I, Sinert R. Diagnosing Acute Heart Failure in the Emergency Department: A Systematic Review and Meta-analysis. Acad Emerg Med [Internet] Acad Emerg Med; 2016 [cited 2023 Mar 30]; 23: 223–242Available from: https://pubmed.ncbi.nlm.nih.gov/26910112/.
- Chavez MA, Shams N, Ellington LE, Naithani N, Gilman RH, Steinhoff MC, Santosham M, Black RE, Price C, Gross M, Checkley W. Lung ultrasound for the diagnosis of pneumonia in adults: a systematic review and meta-analysis. Respir Res [Internet] Respir Res; 2014 [cited 2023 Mar 30]; 15Available from: https://pubmed.ncbi.nlm.nih.gov/24758612/.
- Alrajab S, Youssef AM, Akkus NI, Caldito G. Pleural ultrasonography versus chest radiography for the diagnosis of pneumothorax: review of the literature and meta-analysis. Crit Care [Internet] Crit Care; 2013 [cited 2023 Mar 30]; 17Available from: https://pubmed.ncbi.nlm.nih.gov/24060427/.
- Laursen CB, Rahman NM, Volpicelli G. Thoracic Ultrasound. Thoracic Ultrasound European Respiratory Society; 2018.
- Laursen CB, Clive A, Hallifax R, Pietersen PI, Asciak R, Davidsen JR, Bhatnagar R, Bedawi EO, Jacobsen N, Coleman C, Edey A, Via G, Volpicelli G, Massard G, Raimondi F, Evison M, Konge L, Annema J, Rahman NM, Maskell N. European Respiratory Society statement on thoracic ultrasound. European Respiratory Journal [Internet] European Respiratory Society; 2021 [cited 2022 Jul 8]; 57: 20Available from: https://erj.ersjournals.com/content/57/3/2001519.
- Laursen CB, Sloth E, Lassen AT, Christensen R de P, Lambrechtsen J, Madsen PH, Henriksen DP, Davidsen JR, Rasmussen F. Point-of-care ultrasonography in patients admitted with respiratory symptoms: A single-blind, randomised controlled trial. Lancet Respir Med [Internet] Lancet Publishing Group; 2014 [cited 2020 Dec 26]; 2: 638–646Available from: http://www.thelancet.com/article/S2213260014701353/fulltext.
- Falster C, Egholm G, Wiig R, Poulsen MK, Møller JE, Posth S, Brabrand M, Laursen CB. Diagnostic Accuracy of a Bespoke Multiorgan Ultrasound Approach in Suspected Pulmonary Embolism. Ultrasound Int Open [Internet] Georg Thieme Verlag KG; 2022 [cited 2023 Jan 30]; 08: E59–E67Available from: http://www.thieme-connect.de/products/ejournals/html/10.1055/a-1971-7454.
- Volpicelli G, Elbarbary M, Blaivas M, Lichtenstein DA, Mathis G, Kirkpatrick AW, Melniker L, Gargani L, Noble VE, Via G, Dean A, Tsung JW, Soldati G, Copetti R, Bouhemad B, Reissig A, Agricola E, Rouby JJ, Arbelot C, Liteplo A, Sargsyan A, Silva F, Hoppmann R, Breitkreutz R, Seibel A, Neri L, Storti E, Petrovic T. International evidence-based recommendations for point-of-care lung ultrasound. Intensive Care Med [Internet] Intensive Care Med; 2012 [cited 2023 Mar 30]; 38: 577–591Available from: https://pubmed.ncbi.nlm.nih.gov/22392031/.
- Picano E, Frassi F, Agricola E, Gligorova S, Gargani L, Mottola G. Ultrasound lung comets: a clinically useful sign of extravascular lung water. J Am Soc Echocardiogr [Internet] J Am Soc Echocardiogr; 2006 [cited 2023 Mar 30]; 19: 356–363Available from: https://pubmed.ncbi.nlm.nih.gov/16500505/.
- Pivetta E, Goffi A, Lupia E, Tizzani M, Porrino G, Ferreri E, Volpicelli G, Balzaretti P, Banderali A, Iacobucci A, Locatelli S, Casoli G, Stone M, Maule M, Baldi I, Merletti F, Cibinel G, Baron P, Battista S, Buonafede G, Busso V, Conterno A, Del Rizzo P, Ferrera P, Pecetto P, Moiraghi C, Morello F, Steri F, Ciccone G, Calasso C, et al. Lung Ultrasound-Implemented Diagnosis of Acute Decompensated Heart Failure in the ED: A SIMEU Multicenter Study. Chest [Internet] Chest; 2015 [cited 2023 Mar 30]; 148: 202–210Available from: https://pubmed.ncbi.nlm.nih.gov/25654562/.
- Volpicelli G, Cardinale L, Garofalo G, Veltri A. Usefulness of lung ultrasound in the bedside distinction between pulmonary edema and exacerbation of COPD. Emerg Radiol [Internet] Emerg Radiol; 2008 [cited 2023 Mar 30]; 15: 145–151Available from: https://pubmed.ncbi.nlm.nih.gov/18236088/.
- Al Deeb M, Barbic S, Featherstone R, Dankoff J, Barbic D. Point-of-care ultrasonography for the diagnosis of acute cardiogenic pulmonary edema in patients presenting with acute dyspnea: a systematic review and meta-analysis. Acad Emerg Med [Internet] Acad Emerg Med; 2014 [cited 2023 Mar 30]; 21: 843–852Available from: https://pubmed.ncbi.nlm.nih.gov/25176151/.
- Cortellaro F, Ceriani E, Spinelli M, Campanella C, Bossi I, Coen D, Casazza G, Cogliati C. Lung ultrasound for monitoring cardiogenic pulmonary edema. Intern Emerg Med [Internet] Intern Emerg Med; 2017 [cited 2023 Mar 30]; 12: 1011–1017Available from: https://pubmed.ncbi.nlm.nih.gov/27473425/.
- Lichtenstein DA, Menu Y. A bedside ultrasound sign ruling out pneumothorax in the critically ill. Lung sliding. Chest [Internet] Chest; 1995 [cited 2023 Mar 30]; 108: 1345–1348Available from: https://pubmed.ncbi.nlm.nih.gov/7587439/.
- Falster C, Jacobsen N, Coman KE, Højlund M, Gaist TA, Posth S, Møller JE, Brabrand M, Laursen CB. Diagnostic accuracy of focused deep venous, lung, cardiac and multiorgan ultrasound in suspected pulmonary embolism: a systematic review and meta-analysis. Thorax [Internet] Thorax; 2021 [cited 2021 Nov 5]; : thoraxjnl-2021-216838Available from: https://pubmed.ncbi.nlm.nih.gov/34497138/.
- Nazerian P, Gigli C, Reissig A, Pivetta E, Vanni S, Fraccalini T, Ferraris G, Ricciardolo A, Grifoni S, Volpicelli G. Retrospective analysis of the diagnostic accuracy of lung ultrasound for pulmonary embolism in patients with and without pleuritic chest pain. Ultrasound Journal [Internet] Springer-Verlag Italia s.r.l.; 2022 [cited 2023 Mar 30]; 14: 1–8Available from: https://theultrasoundjournal.springeropen.com/articles/10.1186/s13089-022-00285-3.
- Pietersen PI, Madsen KR, Graumann O, Konge L, Nielsen BU, Laursen CB. Lung ultrasound training: a systematic review of published literature in clinical lung ultrasound training. Crit Ultrasound J [Internet] Crit Ultrasound J; 2018 [cited 2023 Sep 18]; 10Available from: https://pubmed.ncbi.nlm.nih.gov/30175392/.
- Pietersen PI, Laursen CB, Petersen RH, Konge L. Structured and evidence-based training of technical skills in respiratory medicine and thoracic surgery. J Thorac Dis [Internet] J Thorac Dis; 2021 [cited 2023 Sep 18]; 13: 2058–2067Available from: https://pubmed.ncbi.nlm.nih.gov/33841995/.
- Skaarup SH, Laursen CB, Bjerrum AS, Hilberg O. Objective and Structured Assessment of Lung Ultrasound Competence. A Multispecialty Delphi Consensus and Construct Validity Study. Ann Am Thorac Soc [Internet] Ann Am Thorac Soc; 2017 [cited 2023 Mar 30]; 14: 555–560Available from: https://pubmed.ncbi.nlm.nih.gov/28145770/.
- Millington SJ, Arntfield RT, Guo RJ, Koenig S, Kory P, Noble V, Mallemat H, Schoenherr JR. The Assessment of Competency in Thoracic Sonography (ACTS) scale: validation of a tool for point-of-care ultrasound. Crit Ultrasound J [Internet] Crit Ultrasound J; 2017 [cited 2023 Mar 30]; 9Available from: https://pubmed.ncbi.nlm.nih.gov/29168030/.
- EFSUMB EUROPEAN FEDERATION OF SOCIETIES FOR ULTRASOUND IN MEDICINE AND BIOLOGY “Building a European Ultrasound Community” MINIMUM TRAINING REQUIREMENTS FOR THE PRACTICE OF MEDICAL ULTRASOUND IN EUROPE Appendix 11: Thoracic Ultrasound
- The Thoracic Ultrasound Certified Training Programme – ERS – European Respiratory Society [Internet]. [cited 2023 Apr 4].Available from: https://www.ersnet.org/education-and-professional- 1. Gentilotti E, De Nardo P, Cremonini E, Górska A, Mazzaferri F, Canziani LM, Hellou MM, Olchowski Y, Poran I, Leeflang M, Villacian J, Goossens H, Paul M, Tacconelli E. Diagnostic accuracy of point-of-care tests in acute community-acquired lower respiratory tract infections. A systematic review and meta-analysis. Clin Microbiol Infect [Internet] Clin Microbiol Infect; 2022 [cited 2023 Mar 30]; 28: 13–22Available from: https://pubmed.ncbi.nlm.nih.gov/34601148/.
- Squizzato A, Rancan E, Dentali F, Bonzini M, Guasti L, Steidl L, Mathis G, Ageno W. Diagnostic accuracy of lung ultrasound for pulmonary embolism: a systematic review and meta-analysis. J Thromb Haemost [Internet] J Thromb Haemost; 2013 [cited 2023 Mar 30]; 11: 1269–1278Available from: https://pubmed.ncbi.nlm.nih.gov/23574640/.
- Martindale JL, Wakai A, Collins SP, Levy PD, Diercks D, Hiestand BC, Fermann GJ, Desouza I, Sinert R. Diagnosing Acute Heart Failure in the Emergency Department: A Systematic Review and Meta-analysis. Acad Emerg Med [Internet] Acad Emerg Med; 2016 [cited 2023 Mar 30]; 23: 223–242Available from: https://pubmed.ncbi.nlm.nih.gov/26910112/.
- Chavez MA, Shams N, Ellington LE, Naithani N, Gilman RH, Steinhoff MC, Santosham M, Black RE, Price C, Gross M, Checkley W. Lung ultrasound for the diagnosis of pneumonia in adults: a systematic review and meta-analysis. Respir Res [Internet] Respir Res; 2014 [cited 2023 Mar 30]; 15Available from: https://pubmed.ncbi.nlm.nih.gov/24758612/.
- Alrajab S, Youssef AM, Akkus NI, Caldito G. Pleural ultrasonography versus chest radiography for the diagnosis of pneumothorax: review of the literature and meta-analysis. Crit Care [Internet] Crit Care; 2013 [cited 2023 Mar 30]; 17Available from: https://pubmed.ncbi.nlm.nih.gov/24060427/.
- Laursen CB, Rahman NM, Volpicelli G. Thoracic Ultrasound. Thoracic Ultrasound European Respiratory Society; 2018.
- Laursen CB, Clive A, Hallifax R, Pietersen PI, Asciak R, Davidsen JR, Bhatnagar R, Bedawi EO, Jacobsen N, Coleman C, Edey A, Via G, Volpicelli G, Massard G, Raimondi F, Evison M, Konge L, Annema J, Rahman NM, Maskell N. European Respiratory Society statement on thoracic ultrasound. European Respiratory Journal [Internet] European Respiratory Society; 2021 [cited 2022 Jul 8]; 57: 20Available from: https://erj.ersjournals.com/content/57/3/2001519.
- Laursen CB, Sloth E, Lassen AT, Christensen R de P, Lambrechtsen J, Madsen PH, Henriksen DP, Davidsen JR, Rasmussen F. Point-of-care ultrasonography in patients admitted with respiratory symptoms: A single-blind, randomised controlled trial. Lancet Respir Med [Internet] Lancet Publishing Group; 2014 [cited 2020 Dec 26]; 2: 638–646Available from: http://www.thelancet.com/article/S2213260014701353/fulltext.
- Casper Falster A, Egholm G, Wiig R, Kjaer Poulsen M, Eifer Møller J, Posth S, Brabrand M, Borbjerg Laursen C, Thieme Verlag GK, Casper Falster C. Diagnostic Accuracy of a Bespoke Multiorgan Ultrasound Approach in Suspected Pulmonary Embolism. Ultrasound Int Open [Internet] Georg Thieme Verlag KG; 2022 [cited 2023 Jan 30]; 08: E59–E67Available from: http://www.thieme-connect.de/products/ejournals/html/10.1055/a-1971-7454.
- Volpicelli G, Elbarbary M, Blaivas M, Lichtenstein DA, Mathis G, Kirkpatrick AW, Melniker L, Gargani L, Noble VE, Via G, Dean A, Tsung JW, Soldati G, Copetti R, Bouhemad B, Reissig A, Agricola E, Rouby JJ, Arbelot C, Liteplo A, Sargsyan A, Silva F, Hoppmann R, Breitkreutz R, Seibel A, Neri L, Storti E, Petrovic T. International evidence-based recommendations for point-of-care lung ultrasound. Intensive Care Med [Internet] Intensive Care Med; 2012 [cited 2023 Mar 30]; 38: 577–591Available from: https://pubmed.ncbi.nlm.nih.gov/22392031/.
- Picano E, Frassi F, Agricola E, Gligorova S, Gargani L, Mottola G. Ultrasound lung comets: a clinically useful sign of extravascular lung water. J Am Soc Echocardiogr [Internet] J Am Soc Echocardiogr; 2006 [cited 2023 Mar 30]; 19: 356–363Available from: https://pubmed.ncbi.nlm.nih.gov/16500505/.
- Pivetta E, Goffi A, Lupia E, Tizzani M, Porrino G, Ferreri E, Volpicelli G, Balzaretti P, Banderali A, Iacobucci A, Locatelli S, Casoli G, Stone M, Maule M, Baldi I, Merletti F, Cibinel G, Baron P, Battista S, Buonafede G, Busso V, Conterno A, Del Rizzo P, Ferrera P, Pecetto P, Moiraghi C, Morello F, Steri F, Ciccone G, Calasso C, et al. Lung Ultrasound-Implemented Diagnosis of Acute Decompensated Heart Failure in the ED: A SIMEU Multicenter Study. Chest [Internet] Chest; 2015 [cited 2023 Mar 30]; 148: 202–210Available from: https://pubmed.ncbi.nlm.nih.gov/25654562/.
- Volpicelli G, Cardinale L, Garofalo G, Veltri A. Usefulness of lung ultrasound in the bedside distinction between pulmonary edema and exacerbation of COPD. Emerg Radiol [Internet] Emerg Radiol; 2008 [cited 2023 Mar 30]; 15: 145–151Available from: https://pubmed.ncbi.nlm.nih.gov/18236088/.
- Al Deeb M, Barbic S, Featherstone R, Dankoff J, Barbic D. Point-of-care ultrasonography for the diagnosis of acute cardiogenic pulmonary edema in patients presenting with acute dyspnea: a systematic review and meta-analysis. Acad Emerg Med [Internet] Acad Emerg Med; 2014 [cited 2023 Mar 30]; 21: 843–852Available from: https://pubmed.ncbi.nlm.nih.gov/25176151/.
- Cortellaro F, Ceriani E, Spinelli M, Campanella C, Bossi I, Coen D, Casazza G, Cogliati C. Lung ultrasound for monitoring cardiogenic pulmonary edema. Intern Emerg Med [Internet] Intern Emerg Med; 2017 [cited 2023 Mar 30]; 12: 1011–1017Available from: https://pubmed.ncbi.nlm.nih.gov/27473425/.
- Lichtenstein DA, Menu Y. A bedside ultrasound sign ruling out pneumothorax in the critically ill. Lung sliding. Chest [Internet] Chest; 1995 [cited 2023 Mar 30]; 108: 1345–1348Available from: https://pubmed.ncbi.nlm.nih.gov/7587439/.
- Falster C, Jacobsen N, Coman KE, Højlund M, Gaist TA, Posth S, Møller JE, Brabrand M, Laursen CB. Diagnostic accuracy of focused deep venous, lung, cardiac and multiorgan ultrasound in suspected pulmonary embolism: a systematic review and meta-analysis. Thorax [Internet] Thorax; 2021 [cited 2021 Nov 5]; : thoraxjnl-2021-216838Available from: https://pubmed.ncbi.nlm.nih.gov/34497138/.
- Nazerian P, Gigli C, Reissig A, Pivetta E, Vanni S, Fraccalini T, Ferraris G, Ricciardolo A, Grifoni S, Volpicelli G. Retrospective analysis of the diagnostic accuracy of lung ultrasound for pulmonary embolism in patients with and without pleuritic chest pain. Ultrasound Journal [Internet] Springer-Verlag Italia s.r.l.; 2022 [cited 2023 Mar 30]; 14: 1–8Available from: https://theultrasoundjournal.springeropen.com/articles/10.1186/s13089-022-00285-3.
- Pietersen PI, Madsen KR, Graumann O, Konge L, Nielsen BU, Laursen CB. Lung ultrasound training: a systematic review of published literature in clinical lung ultrasound training. Crit Ultrasound J [Internet] Crit Ultrasound J; 2018 [cited 2023 Sep 18]; 10Available from: https://pubmed.ncbi.nlm.nih.gov/30175392/.
- Pietersen PI, Laursen CB, Petersen RH, Konge L. Structured and evidence-based training of technical skills in respiratory medicine and thoracic surgery. J Thorac Dis [Internet] J Thorac Dis; 2021 [cited 2023 Sep 18]; 13: 2058–2067Available from: https://pubmed.ncbi.nlm.nih.gov/33841995/.
- Skaarup SH, Laursen CB, Bjerrum AS, Hilberg O. Objective and Structured Assessment of Lung Ultrasound Competence. A Multispecialty Delphi Consensus and Construct Validity Study. Ann Am Thorac Soc [Internet] Ann Am Thorac Soc; 2017 [cited 2023 Mar 30]; 14: 555–560Available from: https://pubmed.ncbi.nlm.nih.gov/28145770/.
- Millington SJ, Arntfield RT, Guo RJ, Koenig S, Kory P, Noble V, Mallemat H, Schoenherr JR. The Assessment of Competency in Thoracic Sonography (ACTS) scale: validation of a tool for point-of-care ultrasound. Crit Ultrasound J [Internet] Crit Ultrasound J; 2017 [cited 2023 Mar 30]; 9Available from: https://pubmed.ncbi.nlm.nih.gov/29168030/.
- EFSUMB EUROPEAN FEDERATION OF SOCIETIES FOR ULTRASOUND IN MEDICINE AND BIOLOGY “Building a European Ultrasound Community” MINIMUM TRAINING REQUIREMENTS FOR THE PRACTICE OF MEDICAL ULTRASOUND IN EUROPE Appendix 11: Thoracic Ultrasound. .
- The Thoracic Ultrasound Certified Training Programme – ERS – European Respiratory Society [Internet]. [cited 2023 Apr 4].Available from: https://www.ersnet.org/education-and-professional-development/ers-certified-training-programmes/thoracic-ultrasound-certified-training-programme/.
- Pietersen PI, Bhatnagar R, Rahman NM, Maskell N, Wrightson JM, Annema J, Crombag L, Farr A, Tabin N, Slavicky M, Skaarup SH, Konge L, Laursen CB. Evidence-based training and certification: the ERS thoracic ultrasound training programme. Breathe (Sheff) [Internet] Breathe (Sheff); 2023 [cited 2023 Sep 18]; 19: 230053Available from: https://pubmed.ncbi.nlm.nih.gov/37492346/.
